Early Orthodontic Treatment
Early orthodontic treatment (sometimes called Phase I treatment) usually begins before all the adult teeth erupt into the mouth. The American Association of Orthodontists recommends that the initial orthodontic evaluation occur no later than age 7. Orthodontic treatment may not be necessary at this time, however, early examination can determine the most ideal time to begin treatment. In our office, we generally only recommend early treatment if there is a skeletal problem or if there is moderate to severe crowding. Below you will find some examples of the techniques that we commonly use in our office if early treatment is indicated.
Removable Expanders:
 
Transverse and Sagittal Expanders: The purpose of transverse AND/OR or sagittal expanders is to make jaws wider. By expanding the jaws we can correct cross bites, and make space so that the adult teeth can be aligned properly.
Fixed Expanders:

1). W-Expander (Quad or Bi- Helix): The purpose of the W-expander is to make the upper jaw wider. By expanding the upper jaw we can correct cross bites in the back of the mouth and create additional space to better align the adult teeth.

2). Bonded Hyrax: The purpose of the bonded hyrax is to make the upper jaw wider. By expanding the upper jaw we can correct cross bites and make space so that the adult teeth can be aligned properly.

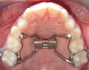
3). Banded Hyrax: The purpose of the banded hyrax is to make the upper jaw wider. By expanding the upper jaw we can correct cross bites in the back of the mouth and create additional space to better align the adult teeth.

4). Carriere: The Carriere is intended to position the upper teeth and jaw towards the rear of the mouth, and the lower jaw and teeth towards the front of the mouth.
Headgear:

1). Cervical Headgear: The cervical headgear is used to assist in positioning the upper teeth and/or redirect or restrain the growth of the upper jaw.

2). Reverse Pull Headgear: The reverse pull headgear is used to place the upper teeth and upper jaw in a more forward position with respect to the lower teeth. This device is often used to help correct for an "under-bite".
Other Appliances:

Forsus/Higgins Appliances: The Forsus and Higgins appliances are intended to position the lower teeth and jaw forward relative to the upper teeth and jaw.

Gianelli Jig: The purpose of a Gianelli jig is to push the back teeth towards the back of the mouth. By doing this we can make space and compensate for skeletal discrepancies. Often, we can use this device to avoid removing permanent teeth.

Palatal Button: A palatal button is a device that is designed to keep certain teeth from moving. It has a plastic part (button) that rests behind the upper teeth that acts as a "brake" against which we can place forces. It is anchored to the teeth by two bands and is attached to the button via a stainless steel soldered wire.
        
 
                    
Website Powered by Sesame 24-7™